Community Impact

Stories of the organizations changing lives with your support.

BANA Community Support

Introducing BANA – Impact Q’s Charity Partner for January

We are proud to introduce the British Acoustic Neuroma Association (BANA) as Impact Q’s first charity partner of the year and our featured organisation for the month of January. BANA is the only UK charity dedicated exclusively to supporting people affected by acoustic neuroma, also known as vestibular schwannoma, and their families, friends, and carers.

Founded in 1992 by patients and their partners, BANA was created to ensure that no one facing an acoustic neuroma diagnosis has to feel alone. The charity provides trusted information, emotional support, and opportunities for connection, while also actively encouraging and supporting research into this rare condition.

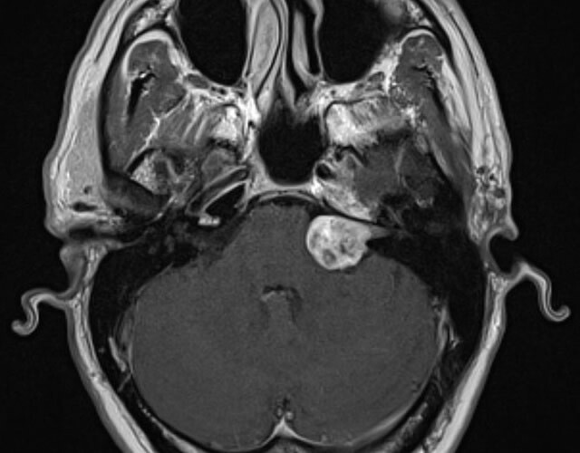
Understanding Acoustic Neuroma

Acoustic neuromas are benign brain tumours that grow on the vestibular nerve and can cause a wide range of symptoms, including:

  • Hearing loss or single-sided deafness
  • Tinnitus
  • Balance and dizziness problems
  • Facial weakness
  • Fatigue, anxiety, and emotional distress

Because acoustic neuroma is rare, many people have never heard of it before being diagnosed. This lack of awareness can leave patients feeling isolated and unsure where to turn. BANA exists to bridge that gap by offering clear guidance, reliable information, and a strong community of people who understand the journey.

How BANA Supports its Members

BANA supports its members through a variety of vital services:

  • Local and virtual support groups
  • Peer-to-peer support via the Listening Ear service
  • Online forums and closed community spaces
  • Access to a Medical Advisory Panel
  • A yearly conference bringing together patients, carers, and medical professionals
  • Information resources covering diagnosis, treatment options, and life after treatment
  • Active involvement in research projects

The charity also promotes National Acoustic Neuroma Awareness Day on 1st July, helping to bring wider public attention to a condition that remains largely unknown.

BANA Support Group

Why We Chose BANA

As a self-funded organisation, BANA relies entirely on donations, fundraising, and partnerships to continue its work. Its impact is felt directly by the people who depend on its services for reassurance, education, and connection.

Choosing BANA as Impact Q’s first charity of January reflects everything our monthly giving model stands for: supporting small, specialist charities that deliver meaningful, life-changing impact. Their work shows how focused support can transform lives, strengthen communities, and raise awareness of conditions that deserve far greater recognition.

Find out more about BANA and the support they provide at www.bana-uk.com.